David Linares Clinic
Excellence in Health & Aesthetics
David Linares Clinic stands as one of the most prestigious private medical institutions in Honduras, where clinical excellence, advanced technology, and high-end patient care come together to create a truly exceptional experience.
More than a clinic, it represents a premium medical concept, designed to deliver exclusive, personalized care under the highest international standards.
Its reputation is built on gold-standard results, supported by state-of-the-art technology, rigorous clinical protocols, and a medical philosophy centered on precision, safety, and excellence.
With a highly qualified multidisciplinary team and over a decade of experience, the clinic continues to strengthen its leadership both nationally and internationally.
At David Linares Clinic, dentistry becomes a refined fusion of science, aesthetics, and sophistication—delivering results that embody true medical excellence.
The DR. DAVID LINARES clinic has a team of specialists, among them
Specialities
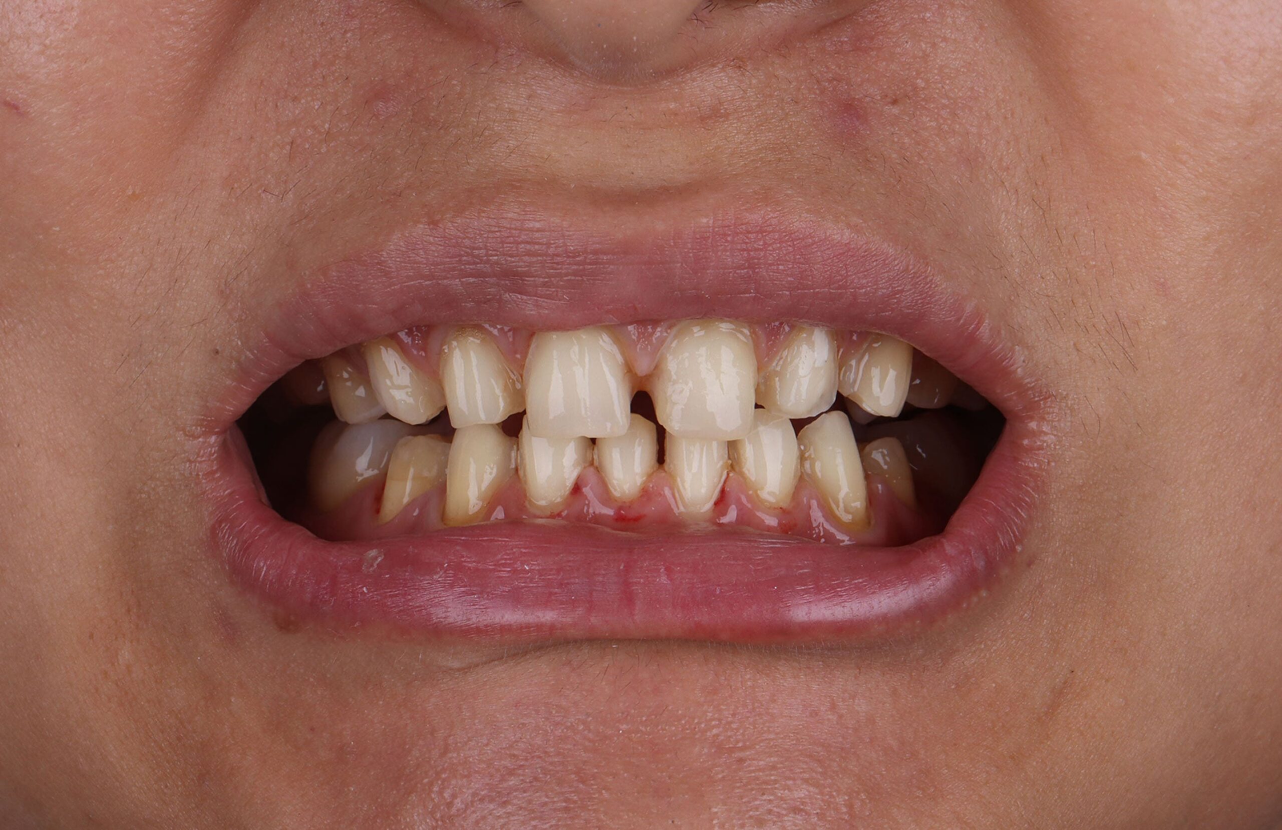
Lumineers
What are the sheets, lenses or Lumineers like?
The Lumineers use the most advanced technologies. The result is highly aesthetic, achieving that dream smile that many desire. Otra de las diferencias con respecto a las carillas tradicionales, es que las Lumineers son ultrafinas. Tanto como una lentilla, que pueden ser apenas 0,01 mm. Eso no quiere decir que sean menos resistentes, al contrario, están realizadas con un material de enorme dureza.





















More than 10 years of experience
More than 26 professionals, including specialists and general dentists
More than 10,000 patients
More than 20,000. Lumineers



































